Ссылки для упрощенного доступа

Болезнь Альцгеймера можно остановить


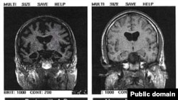
Два томографических снимка мозга. Справа - нормальный мозг, слева - пораженный болезнью Альцгеймера
Два томографических снимка мозга. Справа - нормальный мозг, слева - пораженный болезнью Альцгеймера

Найдено средство, которое дает надежду на победу над заболеванием, перед которым медицина сегодня почти беспомощна. Успешно завершилась вторая стадия испытания лекарства, блокирующего развитие болезни Альцгеймера, в среднем убивающей человека за шесть лет. По мере роста продолжительности жизни болезнь Альцгеймера поражает все больше людей.


О значении этого открытия рассказывает профессор медицины Даниил Голубев:


– Болезнь Альцгеймера (Alzheimer's disease) была идентифицирована, как самостоятельное заболевание, германским невропатологом Алоизом Альцгеймером в 1906 году. О болезни Альцгеймера известно, что клетки головного мозга, отвечающие или регулирующие функцию памяти, отключаются друг от друга и не передают по синапсам нервные возбуждения, в результате чего человек теряет память. Это обстоятельство связано с обменными нарушениями в нейронах. По крайней мере, два вида таких нарушений патологам четко известны. Это возникновение так называемых амилоидных бляшек, особого белка, который скапливается на поверхности нервных клеток и препятствует передаче нервного импульса. И вот сейчас открыт второй белок, так называемый тау (TAU). Новое лекарство - remberTM. Воздействие этого нового препарата на белок тау, оказалось, по меньшей мере, в два раза эффективнее, чем все препараты, которые до сих пор использовались. И поскольку он прошел две из трех узаконенных процедур проверки, это, конечно, вызывает заслуженную положительную оценку.


– Специалисты предупреждают, что болезнь Альцгеймера приобретает характер эпидемии. Учитывая ее летальность, может ли оно стать вровень с раком по масштабности проблемы?


– В общем, дело обстоит именно так. Я думаю, что всем известен пример президента Рейгана, которого, конечно, лечили всеми доступными средствами и не смогли уберечь от развития этого заболевания, и пребывания в течение нескольких лет отключенным от общения даже с самыми близкими людьми. Заболевание это фатальное, и очень дорого обходящееся государству. Уход за такими больными требует огромных вложений. Это миллиардные суммы.


– В России об этом заболевании говорят несравнимо меньше чем в Америке. В России она меньше распространена?


– Диагноз «болезнь Альцгеймера» в России на протяжении многих десятилетий просто не ставился. Говорилось о деменции, о старческом слабоумии. Сейчас это положение меняется, диагноз «болезнь Альцгеймера», равнозначный старческому слабоумию и другим сходным заболеваниям, конечно, есть, и проблема эта очень актуальна. Но она тем более актуальна, чем больше продолжительность жизни в данной стране.


XS
SM
MD
LG